سیستواورتروگرام یا VCUG (Voiding Cysto Urethro Graphy) یکی از روشهای تصویربرداری پزشکی است که برای بررسی عملکرد مثانه و مجرای ادرار استفاده میشود. در این روش با کمک ماده حاجب و تصویربرداری با اشعه ایکس، وضعیت جریان ادرار و شکل دستگاه ادراری بهطور دقیق دیده میشود. پزشکان از VCUG برای تشخیص مشکلاتی مثل ریفلاکس ادراری (بازگشت ادرار به کلیهها)، تنگی یا انسداد مجرای ادرار و بررسی عوارض عفونتهای مکرر ادراری استفاده میکنند.
این آزمایش بهویژه در کودکان رایج است، زیرا بسیاری از مشکلات مادرزادی دستگاه ادراری در همان سنین پایین تشخیص داده میشود. با این حال، در بزرگسالان نیز برای بررسی علت برخی مشکلات ادراری ممکن است لازم باشد انجام شود. اهمیت VCUG در این است که اطلاعاتی دقیق و کاربردی به پزشک میدهد که معمولاً با سونوگرافی یا آزمایشهای سادهتر قابلدسترسی نیست.
چه زمانی پزشک VCUG را تجویز میکند؟
یکی از شایعترین دلایل تجویز VCUG، عفونتهای مکرر ادراری است. وقتی کودکی یا بیماری چندین بار دچار عفونت ادراری میشود، پزشک احتمال میدهد که دلیل اصلی آن اختلال در جریان ادرار یا ریفلاکس ادراری باشد. در چنین مواردی VCUG میتواند بهعنوان یک تست تشخیصی دقیق، علت زمینهای را نشان دهد.
همچنین در مواردی که کودک با مشکلات مادرزادی دستگاه ادراری متولد میشود، پزشک برای ارزیابی شدت و گستردگی این مشکل از VCUG کمک میگیرد. بهعلاوه، در بیماران بزرگسال نیز اگر مشکوک به انسداد یا狭یشدگی مجرای ادرار باشند، این آزمایش به پزشک کمک میکند تا محل و شدت مشکل را تشخیص دهد.

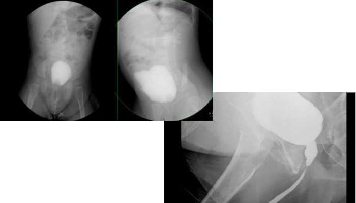
VCUG چگونه انجام میشود؟
فرآیند انجام VCUG ساده است اما ممکن است برای بیمار کمی نگرانکننده به نظر برسد. در این روش ابتدا یک لوله باریک و استریل به نام سوند از طریق مجرای ادرار وارد مثانه میشود. سپس ماده حاجب (Contrast) از طریق این سوند وارد مثانه میشود تا در تصاویر اشعه ایکس بهخوبی دیده شود. وقتی مثانه پر شد، از بیمار خواسته میشود که ادرار کند. در همین زمان تصویربرداری انجام میشود تا جریان ادرار و حرکت ماده حاجب در دستگاه ادراری دیده شود.
این فرآیند معمولاً بین ۲۰ تا ۳۰ دقیقه طول میکشد. آزمایش بهطور سرپایی انجام میشود و نیازی به بستری شدن در بیمارستان ندارد. کودک یا بزرگسال بعد از پایان تست میتواند به خانه بازگردد. تکنسینهای تصویربرداری معمولاً تلاش میکنند فضای آرام و دوستانهای برای کودکان ایجاد کنند تا اضطراب آنها کمتر شود.
آمادگیهای قبل از انجام سیستواورتروگرام
بیماران معمولاً نیاز به ناشتا بودن برای انجام VCUG ندارند. با این حال، پزشک ممکن است بسته به شرایط بیمار، توصیههایی خاص مانند مصرف یا قطع بعضی داروها بدهد. بهطور کلی بهتر است بیمار تمام داروهایی که مصرف میکند، از جمله داروهای گیاهی یا مکملها، را به پزشک اطلاع دهد.
در کودکان کوچک، گاهی اوقات استفاده از آرامبخش سبک توصیه میشود تا اضطراب کودک کاهش یابد و فرآیند بهراحتی انجام شود. همچنین بهتر است والدین مدارک پزشکی قبلی مثل سونوگرافیها یا نتایج آزمایشهای پیشین کودک را همراه داشته باشند تا پزشک بتواند مقایسه دقیقی انجام دهد.

چه انتظاراتی در طول آزمایش باید داشته باشیم؟
یکی از بخشهایی که بیماران نگران آن هستند، ورود سوند به مثانه است. باید بدانید که سوند مورد استفاده بسیار نازک و استریل است و تکنسینها این کار را با دقت و آرامش انجام میدهند. ممکن است بیمار کمی احساس فشار یا ناراحتی کند، اما این حس موقتی است و بهزودی برطرف میشود.
برای والدین کودکان توصیه میشود هنگام انجام آزمایش در اتاق حضور داشته باشند تا کودک احساس امنیت بیشتری داشته باشد. توضیح دادن ساده و دوستانه درباره مراحل آزمایش به کودک میتواند ترس او را به میزان زیادی کاهش دهد.
بعد از انجام VCUG چه اتفاقی میافتد؟
پس از پایان آزمایش، ماده حاجب بهطور طبیعی از طریق ادرار دفع میشود. برخی بیماران ممکن است در اولین دفعات ادرار کردن بعد از آزمایش، احساس سوزش خفیف یا ناراحتی داشته باشند که معمولاً طی ۲۴ ساعت برطرف میشود. نوشیدن مایعات فراوان میتواند به خروج سریعتر ماده حاجب و کاهش سوزش کمک کند.
نتایج آزمایش معمولاً ظرف مدت کوتاهی توسط رادیولوژیست بررسی و تفسیر میشود و به پزشک معالج ارسال میگردد. سپس پزشک بر اساس این نتایج درباره ادامه روند درمان یا بررسیهای بیشتر تصمیمگیری میکند.
مزایا و معایب VCUG
یکی از بزرگترین مزایای VCUG، توانایی آن در تشخیص دقیق ریفلاکس ادراری است. این مشکل اگر زود تشخیص داده نشود، میتواند به کلیهها آسیب جدی وارد کند. همچنین VCUG به پزشک کمک میکند تا مشکلات ساختاری دستگاه ادراری را با وضوح بالا مشاهده کند.
در مقابل، برخی معایب یا محدودیتها نیز وجود دارد. برای مثال، وارد کردن سوند ممکن است کمی ناراحتی ایجاد کند. همچنین احتمال بروز عفونت ادراری بعد از آزمایش وجود دارد، هرچند این احتمال بسیار پایین است. علاوه بر این، چون این روش از اشعه ایکس استفاده میکند، در کودکان باید با دقت بیشتری تجویز شود؛ هرچند میزان اشعه بسیار کم و در حد ایمن است.
خطرات و عوارض احتمالی
مانند هر روش پزشکی، VCUG نیز ممکن است با خطرات محدودی همراه باشد. یکی از این عوارض، عفونت ادراری است که در درصد کمی از بیماران رخ میدهد. پزشک برای پیشگیری ممکن است داروی آنتیبیوتیک تجویز کند یا توصیههایی برای مراقبت بعد از آزمایش ارائه دهد.
از دیگر عوارض احتمالی میتوان به وجود مقدار کمی خون در ادرار یا احساس سوزش موقت اشاره کرد. واکنش به ماده حاجب بسیار نادر است، اما در صورت بروز علائم غیرعادی مثل تب، لرز یا درد شدید، باید سریعاً به پزشک اطلاع داده شود.
تفاوت VCUG با سایر روشهای تصویربرداری
بسیاری از بیماران میپرسند که چرا به جای سونوگرافی، پزشک VCUG را تجویز میکند. سونوگرافی برای بررسی کلیهها و مثانه بسیار مفید است، اما توانایی تشخیص ریفلاکس ادراری را ندارد. VCUG این امکان را دارد که دقیقاً نشان دهد ادرار چگونه در هنگام تخلیه حرکت میکند.
در مقایسه با سیتیاسکن یا امآرآی، VCUG سادهتر و کمهزینهتر است و اطلاعات خاصی درباره جریان ادرار میدهد که در روشهای دیگر قابل مشاهده نیست. بنابراین پزشک با توجه به شرایط بیمار تصمیم میگیرد که این روش بهترین گزینه تشخیصی است.
پرسشهای متداول بیماران درباره VCUG
یکی از پرسشهای رایج این است که آیا آزمایش دردناک است؟ پاسخ این است که ورود سوند ممکن است کمی ناراحتکننده باشد، اما درد شدید ایجاد نمیکند و به سرعت برطرف میشود. تکنسینها نیز تمام تلاش خود را میکنند تا بیمار راحتتر باشد.
سؤال دیگر این است که کودکان چگونه همکاری میکنند؟ معمولاً کودکان کمی مضطرب هستند، اما با حضور والدین و توضیحات ساده، میتوانند همکاری خوبی داشته باشند. در صورت نیاز هم از آرامبخش ملایم استفاده میشود. همچنین بیماران باید بدانند که اگر پس از آزمایش دچار تب، خونریزی شدید یا درد غیرعادی شدند، باید حتماً به پزشک مراجعه کنند.
جمعبندی
سیستواورتروگرام (VCUG) یک روش تشخیصی ارزشمند برای بررسی مثانه و مجرای ادرار است. این آزمایش به پزشکان کمک میکند مشکلات مهمی مثل ریفلاکس ادراری، انسداد یا مشکلات مادرزادی را بهموقع تشخیص دهند. هرچند ممکن است کمی ناراحتی ایجاد کند، اما فواید آن بهمراتب بیشتر از معایب احتمالی است.
بیماران باید بدانند که VCUG بهطور کلی بیخطر است و نگرانی زیادی درباره آن وجود ندارد. رعایت توصیههای پزشک قبل و بعد از آزمایش میتواند احتمال بروز عوارض را به حداقل برساند و نتایج دقیقتری در اختیار پزشک قرار دهد.
جدول آمادگیها و مراقبتها در VCUG
| مرحله | اقدامات لازم |
|---|---|
| قبل از آزمایش | مصرف دارو طبق دستور پزشک، اطلاع از حساسیت دارویی، آمادهسازی کودک |
| حین آزمایش | آرامش داشتن، همکاری با تکنسین، حضور والدین برای کودک |
| بعد از آزمایش | نوشیدن مایعات فراوان، توجه به علائم غیرعادی، مراجعه در صورت تب یا درد شدید |




0 Comments